Filip Vavrek, 6.ročník LF UK BA, diplomová práca
Úvod
Ortognátna chirurgia predstavuje komplexné operácie v tvárovej oblasti, ktoré významne ovplyvňujú vzhľad pacientov a oklúznu funkciu ich čeľustí. Pre dosiahnutie uspokojivých výsledkov je nutná úzka spolupráca medzi chirurgom a čeľustným ortopédom. Operácie zahŕňajú hlavne osteotómie a repozície maxily a mandibuly. Využívajú sa na riešenie trojrozmerných anomálií maxilomandibulárneho komplexu, s následnými pozitívnymi účinkami na oklúziu, estetiku tváre a manažment obštrukcie dýchacích ciest.
Kazuistika
Na Kliniku ústnej, čeľustnej a tvárovej chirurgie LFUK a UNB bol odoslaný 13-ročný pacient s diagnózou jednostranného rázštepu pery, čeľuste a podnebia vľavo. Klinické a rádiografické vyšetrenie potvrdilo výraznú anteroposteriórnu diskrepanciu čeľustí. Tento stav, charakterizovaný signifikantnou hypopláziou strednej etáže tváre a relatívnou progéniou sa klinicky prejavoval ako skeletálna III. trieda s obráteným zhryzom. Prvá konzultácia prebehla v ortognátnej poradni v septembri 2024. Pre riešenie tejto anomálie bola indikovaná chirurgická liečba metódou osteodistrakcie maxily. Distrakčná osteogenéza je chirurgická technika, ktorá vznikla ako nástroj na korekciu kostných deformít, ktorý využíva vlastné opravné mechanizmy organizmu človeka pre optimálnu rekonštrukciu tkaniva. Princípom techniky je generovanie novej kosti po kortikotómii, osteotómii a postupnej distrakcii na princípe vyvolávania ťahu a napätia.
Pri plánovaní korekcie takto rozsiahlej diskrepancie je nutné zvážiť limity jednotlivých operačných postupov. Konvenčná, jednostupňová Le Fort I osteotómia je síce štandardným výkonom, avšak pri posunoch presahujúcich 7-8 mm, obzvlášť u pacientov s rázštepom a zjazveným tkanivom, rapídne stúpa riziko nestability a následného relapsu (návratu do pôvodného stavu). Napätie mäkkých tkanív po takom rozsiahlom posune generuje sily, ktoré kostné štepy a miniplatne nedokážu dlhodobo udržať. Z tohto dôvodu bolo indikované riešenie práve metódou distrakčnej osteogenézy.
Kľúčové kroky predoperačnej prípravy
Veľmi dôležitou fázou prípravy pacienta na operáciu je ortodontická predpríprava. Pre uvedenie zubov do správnej polohy je potrebné odstránenie zubnej kompenzácie. Po „dekompenzácii“ chrupu, ktorá sa často spája so zdanlivým „zhoršením maloklúzie“ nasleduje chirurgická časť liečby.
Chirurg môže následne sledovať plne odhalený problém s jasne identifikovateľnými skeletálnymi črtami maloklúzie a počas operácie mu je umožnené vykonať posuny čeľustí v maximálnom potrebnom rozsahu bez obmedzení spôsobenými nesprávnou polohou zubov. Dôležitú úlohu hrá i virtuálne chirurgické plánovanie, ďalej uvádzané ako “VSP”.

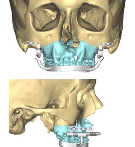
VSP je moderný postup v chirurgii, ktorý umožňuje digitálne plánovanie chirurgických zákrokov a poskytuje 3D vizualizácie miesta operácie. V súvislosti s ortognátnou chirurgiou je VSP obzvlášť dôležité, pretože umožňuje chirurgom simulovať rôzne chirurgické scenáre, posúdiť potenciálne výsledky alebo vykonávať úpravy v reálnom čase. V tomto prípade i vektor distrakcie.
Chirurgická fáza operácie
Po predoperačnej príprave u čeľustného ortopéda a virtuálnom 3D naplánovaní výkonu boli pacientovi dňa 1.4.2025 implantované osteodistraktory pri súčasnom vykonaní Le Fort I osteotómie maxily. Nasledujúce snímky zachytávajú výzor a oklúziu pacienta pred operáciou.




Operácia sa začína rezom a odklopením mukoperiostálneho laloka v celom priebehu budúcej LeFort I osteotómie. Na základe navádzacej dlahy sa následne pristupuje k vykonaniu LeFort I osteotómie.


Nasledujúce snímky slúžia na porovnanie operačného poľa počas operácie a vo fáze VSP.


Na ďalšom snímku je zobrazená maxila po odstránení navádzacej dlahy.

Po finalizovaní osteotómie v celom rozsahu sa pristupuje k “Down Fracture“ maxily (zlomenina vytvorená digitálnym tlakom na frontálny úsek processus alveolaris maxillae s jeho následnou mobilizáciou).

Maxila sa do požadovanej polohy dostáva za pomoci osteodistraktorov.


Správnosť uloženia osteodistraktorov sa overuje podľa predom vytvorenej navádzacej dlahy.


Stav po zafixovaní distraktorov v požadovanej pozícii.

Po päťdňovej latentnej perióde bola zahájená aktívna fáza distrakcie tempom 0,5 mm denne (1 otáčka denne), pričom sa dosiahlo celkové predsunutie maxily o 10,5 mm. Následne prebehla fáza konsolidácie novovytvoreného kalusu. Osteodistraktory boli extrahované dňa 19.8.2025 v rámci celkovej hospitalizácie počas celkovej anestézy. Pooperačná fotodokumentácia bola zhotovená dňa 24.9.2025. Je možné pozorovať výraznú zmenu výzoru i oklúzie pacienta.

Analýza výsledkov a stabilita liečby
Zdokumentovaná kazuistika je ukážkou toho, ako moderná a predikovateľná ortognátna chirurgia v spolupráci s čeľustnou ortopédiou dokáže riešiť aj tie najzávažnejšie vrodené anomálie. Individualizovaný operačný plán ako metóda distrakčnej osteogenézy, podporená VSP a 3D tlačou umožnila dosiahnuť stabilný a predvídateľný výsledok. Pacient aj po operácii naďalej pokračuje v čeľustno-ortopedickej liečbe, ktorej cieľom je udržať vhodný anteroposteriórny ako aj transverzálny rozmer maxily.
Poďakovanie a zdroje
Touto cestou by som sa chcel poďakovať vedúcemu mojej diplomovej práce (MDDr. Michal Vavro PhD.) a konzultantke (MDDr. Bronislava Dvoranová PhD.) za ochotu, poskytnutie materiálov a za možnosťzúčastniť sa jednotlivých operačných výkonoch.
Pre ďalšie zaujímavé kazuistiky z ortognátnej chirurgie dávam do pozornosti odkaz na moju celú diplomovú prácu na adrese: https://opac.crzp.sk/?
fn=detailBiblioFormChildE13BPI&sid=CB4D57913478E3D226C1BF6557B5&seo=CRZP-detail-kniha
Fotografie vyhotovené v rámci kontrol pred/po operácii a VSP: Archív MDDr. Michal Vavro PhD. a MDDr. Bronislava Dvoranová PhD.
Fotografie vyhotovené počas operácie: Archív Filip Vavrek
WEISS, Robert O., Adrian A. ONG, Likith V. REDDY, Sara BAHMANYAR, Aurora G. VINCENT a Yadranko DUCIC, 2021. Orthognathic Surgery—LeFort I Osteotomy. Facial Plastic Surgery [online].2021, roč. 37, č. 06, s. 703–708. ISSN 0736-6825. Dostupné na: doi:10.1055/s-0041-1735308
ZAMMIT, Domenick, Russell E ETTINGER, Paymon SANATI-MEHRIZY a Srinivas M SUSARLA, 2023. Current Trends in Orthognathic Surgery. Medicina (Kaunas, Lithuania) [online]. 2023, roč. 59, č. 12.ISSN 1648-9144. Dostupné na: doi:10.3390/medicina59122100
RACHMIEL, Adi a Dekel SHILO, 2015. The use of distraction osteogenesis in oral and maxillofacial surgery. Annals of Maxillofacial Surgery [online]. 2015, roč. 5, č. 2, s. 146. ISSN 2231-0746. Dostupné na: doi:10.4103/2231-0746.175777
SINGH, 2016. Diagnosis and Treatment Planning in Orthognatic Surgery [online] [cit. 11.9.2025]. Dostupné na: https://research.ebsco.com/c/ljuqiw/search/details/3zltu2dk35?db=e000xww%2Cnlebk&limiters=None&q=Diagnosis%20and%20Treatment%20Planning%20in%20Orthognathic%20Surgery&searchMode=boolean
SAIGO, Leonardo, Felix SCHRADER, Majeed RANA a Max WILKAT, 2024. 3-Dimensional accuracy of navigation-guided bimaxillary orthognathic surgery: A systematic review and meta-analysis. Journal of Cranio-Maxillofacial Surgery [online]. 2024, roč. 52, č. 11, s. 1274–1287. ISSN 10105182. Dostupné na: doi:10.1016/j.jcms.2024.08.010
PEREIRA, Maurício Assunção, Paulo Henrique LUIZ DE FREITAS, Taís Frenzel DA ROSA a Cristina Braga XAVIER, 2007. Understanding Distraction Osteogenesis on the Maxillofacial Complex: A Literature Review. Journal of Oral and Maxillofacial Surgery [online]. 2007, roč. 65, č. 12, s. 2518–2523. ISSN 02782391. Dostupné na: doi:10.1016/j.joms.2006.10.01





